絲狀菌膨脹爆發后 4個不同時期的污泥沉降特征變化!
確認絲狀菌是否發生膨脹有很多的方法,判斷的方法也各有特點。只有盡早地發現絲狀菌膨脹的存在,才能提早發現問題,分析原因并采取有效措施進行應對。
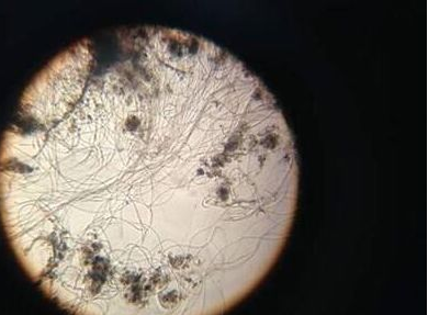
1、絲狀菌的結構及膨脹的危害
正常的活性污泥結構較稠密,菌膠團生長良好,顯微鏡下觀察到菌膠團外緣整齊清晰,并可發現有纖毛類原生動物。污泥呈礬花狀,絮凝、沉降和濃縮性能良好。污泥體積指數(SVI)在100左右,污泥沉降體積(SV)在30%左右,含水率約90%。從污泥的結構來看,活性污泥絮狀體是由菌膠團和絲狀菌組合而成的。絲狀菌猶似絮狀體的骨架,菌膠團粘結在骨架上,相互交織在一起如同骨和肉的關系。對正常的活性污泥來說,它們兩者之間有一個適當的比例關系。如果絲狀菌生長繁殖過多,菌膠團的生長繁殖將受到抑制,好多絲狀菌伸出污泥表面之外,使得絮狀體松散,沉淀性能惡化,污泥體積膨脹,污泥沉降體積(%)及污泥體積指數(SVI)均很高,這就是絲狀菌性污泥膨脹。膨脹嚴重時,顯微鏡下觀察的整個視野幾乎都是絲狀菌。這種絲狀菌性膨脹的污泥體積指數(SVI),一般可達200~2000,視膨脹程度而異。絲狀菌性膨脹污泥的外觀不同于正常污泥,上清液少但亦非常清澈。
發生污泥膨脹后,二沉池出水的SS將會大幅度增加,直至超過國家排放標準,同時導致出水的CODcr和BOD5也超標。如果不立即采取控制措施,污泥持續流失會使曝氣池內的微生物數量銳減,不能滿足分解有機污染物的正常需要,從而導致整個系統的性能下降,甚至崩潰。如果恢復,需要從培養、馴化活性污泥重新開始。

2、通過觀察活性污泥沉降比判斷絲狀菌膨脹狀態
絲狀菌膨脹的直接后果是活性污泥的沉降壓縮性變差,活性污泥的含水率提高。在活性污泥沉降的整個過程中可以發現:活性污泥沉降時間延長,沉降速度變慢。不同膨脹程度的活性污泥,沉降特征如下。
(1) 絲狀菌輕度膨脹時的活性污泥沉降表現
通常輕度膨脹的活性污泥較正常時的沉降性略差,主要表現在,沉降后的活性污泥壓縮體積占整個混合液的體積數增高。一般正常的活性污泥沉降比在10%~30%之間,輕度絲狀菌膨脹的活性污泥其沉降比通常在25%~40%左右。沉降初期的活性污泥絮凝性方面,其絮凝速度會低于正常性能的活性污泥絮凝速度,絮凝時間約延長2~4倍。(正常的活性污泥,其初期絮凝性能極佳,1min內可完成絮凝過程)。
(2) 絲狀菌中度膨脹時的活性污泥沉降表現
絲狀菌發生中度膨脹的時候,活性污泥的相對體積膨脹就比較明顯了,活性污泥的顏色將變淡。在沉降速度方面,由于絲狀菌的膨脹,活性污泥絮凝性能降低,所以從絮凝開始到自由沉淀、集團沉淀、壓縮沉淀,各階段耗時都將延長。特別是壓縮沉淀階段,表現的更加明顯,將是正常的壓縮沉淀時間的2倍。在沉降比數值方面,活性污泥終沉降比在40%~60%左右。
(3) 絲狀菌高度膨脹時的活性污泥沉降表現
絲狀菌發生高度膨脹的時候,活性污泥的泥水分離效果非常差,在前15min我們看不到明顯的沉降效果,活性污泥表現出高度的細密狀態,顏色鮮艷而淺淡,活性污泥的自由沉淀、集團沉淀、壓縮沉淀區分不明顯,特別是壓縮沉淀階段。從沉降比值觀察的結果可以看到,高度膨脹的活性污泥沉降比值在90%左右。此時,活性污泥在二沉池的沉降就顯得非常的困難了。因此,在活性污泥高度膨脹階段,可以觀察到少量活性污泥流出二沉池,同時,在整個二沉池水平面上,揚起的活性污泥絮團將非常的多而明顯。
(4) 絲狀菌極度膨脹時的活性污泥沉降表現
絲狀菌發生極度膨脹的情況對整個生化系統來講是災難性的,因為在絲狀菌極度膨脹的情況下,活性污泥的沉降比通常是100%,也就是在30min內沒有沉降,此時的活性污泥混合液細密,顏色淺淡,整體泛白色,通常在沉降后的1h內才能看到99%的沉降比。大量活性污泥流入二沉池,活性污泥濃度迅速降低。所以活性污泥發生絲狀菌極度膨脹的時候,不但出水超標,活性污泥濃度也大受影響,極有可能導致系統崩演。
3、通過污泥容積指數判斷絲狀菌膨脹狀態
污泥容積指數在判斷活性污泥的膨脹狀態方面具有較好的作用,特別是對輕度和中度絲狀菌膨脹。尤其是我們在活性污泥沉降比觀察時發現沉降比值大于40%的時候,如果沒有排除活性污泥濃度過高這種情況時,容易誤判斷。而污泥容積指數值卻可以很好地避免這種情況的發生,因為活性污泥容積指數的計算公式中,分母即為活性污泥濃度值,本身活性污泥的濃度值也就被考慮在污泥容積指數的計算中了。
對不同膨脹階段的絲狀菌來講,污泥容積指數值是不同的。我們通常認為污泥容積指數值在50~150之間是正常的。對于工業廢水而言,可以將該值放寬到50~200之間。但活性污泥發生輕度絲狀菌膨脹的時候,污泥容積指數可以上升到250左右;在中度絲狀菌膨脹階段,污泥容積指數在300~350之間;在高度絲狀菌膨脹狀態,污泥容積指數在500~700左右;而極度的絲狀菌膨脹,由于活性污泥的沉降比為100%,因此也就失去了計算污泥容積指數的意義了。